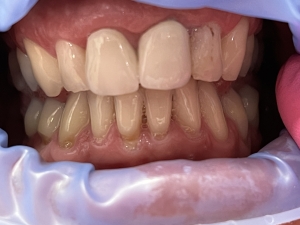
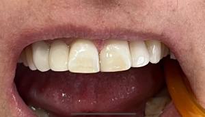
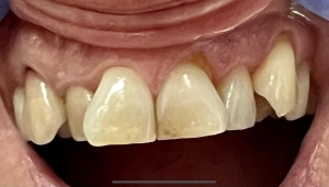
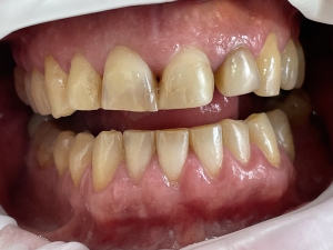
Małe metamorfozy

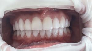
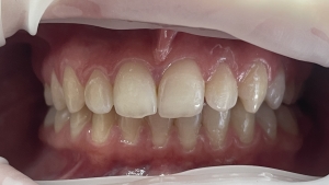
1

Całkowita rekonstrukcja zgryzu u pacjentki z wykonaniem sześciu koron cyrkonowych i bonding na pozostałych zębach

2

Wymiana pękniętego mostu pacjentki na nowe uzupełnienie pełnoceramiczne cyrkonowe

3

Przykładowe zastosowanie bonding na zębach szczęki i żuchwy w celu estetycznej odbudowy zgryzu w przypadku patologicznego starcia

4

Korekta kształtu zębów przednich w szczęce przy pomocy bonding

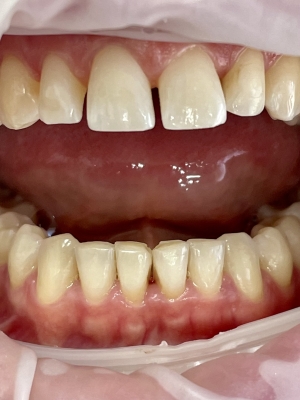
5

Korekta kształtu zębów poprzez bonding w szczęce i żuchwie

6

Wymiana koron na uzupełnienia porcelanowe na cyrkonie oraz wyrównanie wysokości zgryzu za pomocą bonding zębów dolnych

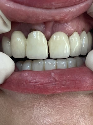
7

Zmiana kształtu siekaczy górnych za pomocą bonding

8

Zabudowa szpar międzyzębowych za pomocą bonding z jednoczesną poprawą estetyki uśmiechu

9

Rekonstrukcja zgryzu za pomocą mostów cyrkonowych w szczęce oraz bonding zębów dolnych

10

Estetyczna rekonstrukcja zębów po leczeniu ortodontycznym z jednoczesnym uzupełnieniem braku mostem cyrkonowym

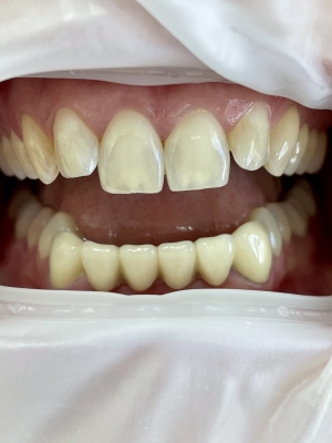
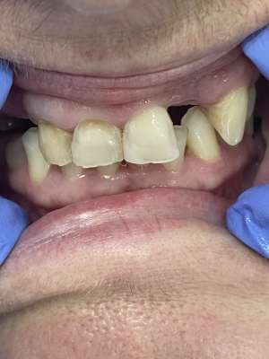
11

Szybka zmiana uśmiechu w jeden dzień - bonding i rekonstrukcja wysokości zgryzu u 45- letniego pacjenta

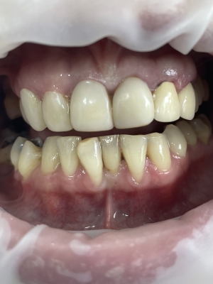
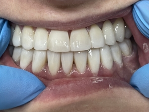
12

Zmiana uśmiechu młodego pacjenta- bonding z wymianą dwóch koron na górnych jedynkach- metamorfoza w pięć dni